Hábitos Malos Para La Boca Parte 1
- mundodesorisassalu
- 22 ago 2017
- 2 Min. de lectura
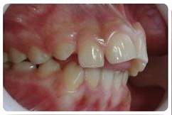
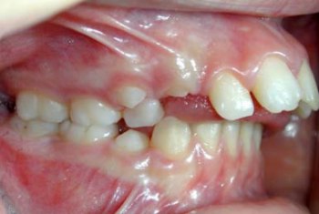
Respiración oral: ( respirar por la boca) se produce por rinitis, congestión de la fosas nasales o obturaciones anatómicas. produce: arcos dentados estrechos, paladar profundo y estrecho, labios incompetentes , los dientes anteriores superiores se ven salidos por la estrechez del arco .hay trastornos de lenguaje por la posición de los dientes, se altera la pronunciación fonemas como : P,M,B,T,D,Z,F, ademas, los tejidos de la boca se ven recesos, lo que la aparición de caries dental y gingivitis.
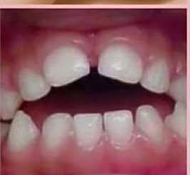
Succión digital: cuando se succiona uno o mas dedos de manera persiste por mas allá de los 2 o 3 años se considera habito.. el mas frecuente es el pulgar. la presión de la yema del dedo sobre los dientes y los músculos de las mejillas, generan estrechamiento de arco superior, dandole mas profundidad al paladar y llevan los dientes entero-superiores hacia adelante, lo que ocasiona mordida abierta.
Succión labial: cuando se succiona el labio inferior de manera constante o frecuente. genera un espacio en los dientes anteriores superiores con respecto a los dientes anteriores inferiores, se ven se ven adelantados los dientes de anterosuperiores y los anteroinferiores se ven hacia atrás; produce mordida abierta anterior.
Succión de chupo: el uso del chupo es frecuente en la mayor de los niños menores de dos años. el uso continuo del chupo puede producir malposición de los dientes anteriores superiores, estrechando el arco maxilar por acción de los músculos de las mejillas. pueden crear mordidas cruzadas, paladar profundo y mordida abierta anterior.
Bruxismo: es el apretamiento y rechinamiento de los dientes a causa de una sobre actividad de los músculos faciales.puede ser nocturno o diurno, produciendo dejaste del esmalte de los dientes su sitio de contacto, ademas de dolor en los músculos faciales. si es muy fuerte el apretamiento, ocasiona desgaste severo, sensibilidad,fracturas de esmalte y de restauraciones existentes, puede llevar a afectar la pulpa. la sobre actividad muscular disminuye la apertura bucal, agranda los músculos de la masticación y produce dolor en la articulación temporomandibular (ATM).
Deglución atípica: la deglución es el acto de pasar los alimentos y saliva de la boca hacia el estomago con ayuda de la lengua apoyada en la parte anterior del paladar detrás de los dientes superiores. cuando la lengua se apoya entre los dientes al pasar el alimento es lo que se conoce como : deglución atípica . la presión de la lengua sobre los dientes, produce desplazamiento de los dientes hacia adelante generando un espacio entre ellos: mordida abierta.
Morderse los tejidos de la boca: es la costumbre de morderse el labio o las mejillas. se asocia al stress. las lesiones en el tejido ocasionan dolor, infecciones y deformaciones de la mucosas. con el tiempo, si no se corrige el habito, puede generar cambios en los tejidos generando tumores malignos.




























Comentarios